El 17 de noviembre se celebra el Día Internacional de la Lucha Contra el Cáncer de Pulmón, una enfermedad que puede llegar a ser mortal, afectando tanto a hombres como a mujeres en todo el mundo.
De ahí la importancia de su prevención evitando los posibles factores de riesgo como como el tabaco, el alcohol y otras sustancias nocivas para la salud.
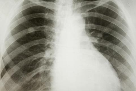
¿Qué es el cáncer del pulmón?
El cáncer del pulmón es una enfermedad que afecta de manera directa las células de los pulmones, provocando un crecimiento anómalo de las mismas, que poco a poco van minando y dañando los tejidos y el canal respiratorio.
El cáncer del pulmón puede aparecer en personas que tienen el hábito de fumar. De acuerdo a las investigaciones hechas al respecto, se ha comprobado que el cigarrillo causa el 85% de esta patología.
Otro de los factores de riesgo tiene que ver con la exposición al gas radón, que se encuentra en los materiales de construcción. También puede ser causado por el arsénico, gases como el diésel y los productos industriales. Estar expuesto al humo, es el caso de los fumadores pasivos y la contaminación constante del aire.
Se puede dar el caso de personas que tengan familiares con esta enfermedad y el padecimiento sea hereditario. Hay casos de personas sometidas a radioterapia de tórax, que pueden presentar este diagnóstico.

